양진서 한림대춘천성심병원 교수는 발목이 갑자기 들리지 않고 발끝이 끌리는 ‘족하수’ 증상이 나타나면 뇌질환이 아닌 말초신경에 문제가 생겼을 가능성이 있다는 의견을 개진했다.
양진서 교수는 뇌와 척추 검사에서 이상이 없는데도 보행 장애가 지속될 경우 ‘비골신경병증’을 의심해봐야 한다고 25일 밝혔다.
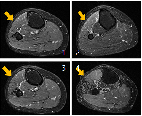
비골신경병증은 무릎 바깥쪽을 지나는 신경이 근육이나 섬유성 조직 등에 의해 압박되면서 발생하는 질환이다.
대표 증상은 발목을 들어 올리지 못하는 족하수로 걸을 때 발끝이 바닥에 걸리거나 계단 이용 시 불안정한 보행이 나타난다.
문제는 뇌졸중이나 척추질환과 증상이 유사해 초기 진단이 늦어지는 경우가 많다는 점이다. 신경 손상은 치료가 지연되면 기능 회복에 어려움을 겪을 수 있다.
양진서 춘천성심병원 신경외과 교수는 “음주 후 바닥에서 옆으로 누워 자거나 장시간 쪼그려 앉는 생활습관이 중요하고 증상이 지속되면 조기 진단과 신경외과 전문 진료를 통해 정확한 진단을 받아야 한다”고 말했다.
















